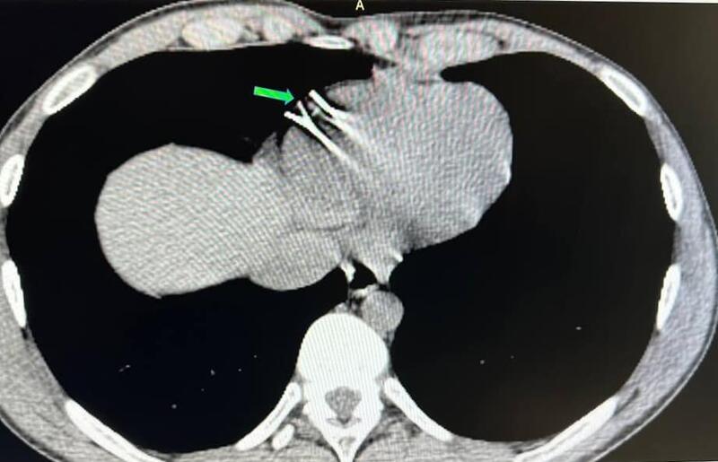
Молодий чоловік у віці 22 років отримав серйозну травму, яка включала ураження органів грудної клітки. Під час обстеження було виявлено два чужорідних предмети – металеві уламки, які проникли в стінку правого шлуночка серця.
Вінницька обласна клінічна лікарня імені М. І. Пирогова, у спеціальній гібридній операційній залі, успішно провела високотехнологічне хірургічне втручання на живому серці пацієнта без зупинки кровообігу. Операція виконувалась через міні-доступ – міні j-стернотомію, з використанням сучасних методів рентгеннавігації та магнітних пристроїв.
Завдяки застосуванню малоінвазивного методу міністернотомії при хірургічному втручанні до пораненого серця, обсяг травми був мінімізований, що сприяло скороченню періоду післяопераційної реабілітації, відповідно до сучасних світових стандартів медичної допомоги.
На даний момент пацієнт почувається добре і успішно проходить післяопераційну реабілітацію. Важливо пам’ятати, що самолікування може бути шкідливим для вашого здоров’я.









